• <li id="444yy"><table id="444yy"></table></li>
  • <li id="444yy"><tt id="444yy"></tt></li>
  • <li id="444yy"><table id="444yy"></table></li>
  • <li id="444yy"><tt id="444yy"></tt></li>
  • <li id="444yy"></li>
  • <tt id="444yy"><table id="444yy"></table></tt>
  • 人民網
    人民網>>重慶頻道>>健康>>動態

    重醫附二院多學科專家聯手力克“顱鼻溝通瘤”

    2024年12月20日12:45 | 來源:人民網-重慶頻道
    小字號

    人民網重慶12月20日電 近日,重慶醫科大學附屬第二醫院(以下簡稱“重醫附二院”)成功完成一例高難度“顱鼻溝通瘤”切除手術,為患者小于(化名)帶來了新的生命希望。該手術由神經外科、耳鼻咽喉頭頸外科、腫瘤中心、影像科、眼科等多學科專家團隊聯合實施,展現了醫院在復雜疾病診療方面的綜合實力。

    花季少女頻流鼻血,竟查出“顱鼻溝通瘤”

    “鼻子偶爾出血不是什么大問題”,小于和家人開始都是這樣想,“兩年前還做過鼻息肉的手術,也沒發現什么大問題。沒想到做個磁共振,竟然發現這么大一個腫瘤?!碑數蒯t院建議她到大城市大醫院就診。經過多方輾轉,小于一家于今年8月來到重醫附二院求治。

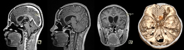
    小于術前的磁共振,能夠清晰看到巨大的腫瘤,像豎起的“啞鈴”一樣,連通顱內和鼻腔。重慶醫科大學附屬第二醫院供圖

    小于術前的磁共振,能夠清晰看到巨大的腫瘤,像豎起的“啞鈴”一樣,連通顱內和鼻腔。重慶醫科大學附屬第二醫院供圖

    神經外科主任謝宗義接診后,立即意識到該腫瘤的復雜性和危險性:它像一個巨大的“啞鈴”,一個頭長在顱內,嚴重壓迫腦組織;另一個頭掛在鼻腔,幾乎把鼻腔填滿;中間的連桿則破壞顱底,把顱底骨頭侵蝕出一個大洞,牢牢卡在里面。仔細詢問后,謝宗義得知小于已經出現了頭痛、厭食、視力下降等顱內高壓的危險信號,病情兇險。

    即便謝宗義已經從事神經外科26年,見過太多風浪,此時也禁不住倒吸一口涼氣。小于一家這兩個月已經走過很多醫院,見過很多專家,十分清楚自己的病情,此時期望已幾乎降至冰點。

    難度極大性命相托 多學科力克“溝通瘤”

    腫瘤就在那里,再外行的人也知道,當務之急是想辦法把它切掉。但是,如何切卻是一個巨大的難題。

    所謂“無兄弟,不顱底”——疑難顱底手術必須多學科聯合作戰。

    謝宗義馬上召集神經外科顱底顱神經團隊,會同影像科、腫瘤科、耳鼻喉科、眼科,共同組成顱底腫瘤多學科團隊(MDT),共同制定治療方案。經過反復討論,大家認為該腫瘤叫做嗅神經母細胞瘤,是一種起源于嗅神經的惡性腫瘤。如果能夠完全切除干凈,輔以放療化療,仍有相當部分患者能夠獲得治愈。但是該手術難度和復雜程度都非常高,嚴峻的挑戰有3點:

    一是腫瘤顱內部分形狀巨大,不僅嚴重壓迫腦組織,還與視神經、垂體柄、頸內動脈這些要命的結構距離很近。二是腫瘤卡在顱底的部分,已經嚴重破壞顱底骨質,甚至有一部分已經侵入眼眶,形態極其復雜。三是全切腫瘤之后,顱底會形成一個巨大的缺損,就像水桶的底被鑿出一個大洞。一旦修補失敗,患者極易死于與腦脊液漏相關的嚴重顱內感染。

    經過反復討論和評估,專家團隊決定采用多學科聯合手術的方式,力求完整切除腫瘤。手術過程中,各學科專家各司其職,密切配合。首先,由資深腦血管病專家馬穎阻斷腫瘤的主要供血動脈,減少術中出血;隨后,神經外科專家在顯微鏡下切除腫瘤顱內部分,并保護視神經、頸內動脈等關鍵結構;接著,耳鼻咽喉科專家切除鼻腔內腫瘤,并檢查各個角落,確保腫瘤全切;最后,使用前額部的組織瓣結合人工材料,修補重建顱底的大洞。

    一路守護 終得顱底痊愈

    手術室里,謝宗義同神經外科主任醫師王旭輝、羅旭,耳鼻咽喉科副主任醫師楊敏密切配合,有條不紊地按計劃推進手術。凌晨,小于的手術已經進行了12個小時,家人在手術室外盯著走廊上的電子鐘,心里念叨著醫生跟他們說的話:只要我們沒有通知你們有什么異常情況,那就是手術在按計劃進行。沒消息,就是好消息……

    這時手術室的門終于推開了,14個小時,小于的手術是那一天里,最晚結束的一臺。

    順利完成手術后,小于很快轉出ICU,回到了普通病房。但是,這并不代表手術取得了最終勝利。由于切除腫瘤后顱底缺損非常巨大,雖然做了充分準備,并嚴密修補,但術后仍可能發生低流量的腦脊液滲漏,存在嚴重顱底感染的風險。所幸,通過反復支撐、換藥,小于的顱底終于在術后2個月的時候完全愈合。

    從術后磁共振和CT檢查看到,腫瘤已經被全切,腦組織恢復很完美,顱底使用鈦板修復。重慶醫科大學附屬第二醫院供圖

    從術后磁共振和CT檢查看到,腫瘤已經被全切,腦組織恢復很完美,顱底使用鈦板修復。重慶醫科大學附屬第二醫院供圖

    如今,小于已經結束病假,重新回到工作崗位。根據神經外科和耳鼻咽喉科專家的會診研判,她的顱底愈合和鼻腔黏膜修復情況都非常良好,可以開始下一步的放化療治療。雖然目前還不能說完全治愈了腫瘤,但手術的成功已為小于開啟了全新的、充滿希望的征程。

    此次手術的成功,不僅體現了重醫附二院在復雜疾病診療方面的高超技藝和團隊協作精神,也為類似疾病的患者帶來了新的治療希望和信心。(胡虹、夏金梅)

    (責編:秦潔、劉政寧)

    分享讓更多人看到

    返回頂部
    黄色网站久久直接看